64316
  • Log in
  • Hello,
|
  • |
  • |
  • |
  • English Site
  • 1 EUR = ILS
מרקורי
      • Evonik care solutions
      • מוצרים
          • Life Science Research
          • Water Purification
          • Reagents, Chemicals and Labware
          • Analytics and Sample Preparation
          • IVD/OEM Materials & Reagents
          • Industrial Microbiology
          • Small Molecules Pharmaceutical
          • Raw Materials for Cosmetics
          • Raw Materials for Different Industries
          • Biopharmaceutical Manufacturing
      • מותגים חדשים
      • מבצעים
      • מרכז ידע
      • חדש על המדף
      • בלוג
      • מסמכים
      • אודות
      • צרו קשר
      1. דף הבית
      2. sap products
      3. Life Science Research
      4. Antibodies and Assays
      5. Primary Antibodies
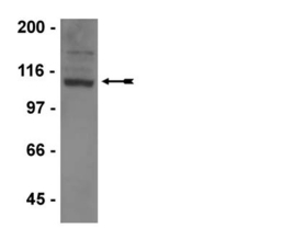
      6. ANTI-GLUR1, CLONE C3T - 100UL

      MM04855 ANTI-GLUR1, CLONE C3T - 100UL

      ANTI-GLUR1, CLONE C3T - 100UL
      .
      .
      Hazard symbol:
         None
      Storage:
         STORE AT -20C
      יח' מידה:
         EA
      לקבלת מידע נוסף לחצו כאן
      מרקורי לוגו
      • |
      • אודות
        • פרופיל חברה
        • פגוש את עובדי מרקורי
        • ספקים
        • המחסן שלנו
        • ISO 9001
        • מבין לקוחותינו
        • קריירה במרקורי
        • קיימות
        • תקנון אתר
        • תנאי מכירה ואספקה
        • מדיניות פרטיות
        • צור קשר
      • מוצרים
        • פתרונות לייצור ביולוגי
        • מוצרים למחקר במדעי החיים
        • מיקרוביולוגיה
        • פתרונות אנליטיים וכרומטוגרפיה
        • ריאגנטים כימיקלים ופילטרים למעבדה
        • מערכות מים למעבדות
        • חומרי גלם לייצור תרופות
        • קוסמטיקה
        • חומרי גלם לתעשייה
      • שירותי מידע
        • נגישות
        • מסמכי איכות ואישורים
        • שרותי מידע
        • COA
        • MSDS
        • טבלה מחזורית לטלפון נייד
        • מצגת הדרכה להורדת מסמכי רגולציה
        • מצגת הדרכה לאתר
      Gadot
      MERCK
        • 4810101 רחוב העבודה 12 ת.ד. 159 ראש העין
        • טלפון: 03-9387164
        • פקס: 03-9021078
        • מייל: [email protected].
      • SAP Ecommerce
      • BSMART_logo
      גדות מרקורי
      • תמיכה מלאה בדפדפן כרום*
      • מותאם לעיוורי צבעים
      • מותאם לכבדי ראייה
      • תצוגה רגילה
      • תפריט קיצורי מקלדתAlt + 0
      • הפסק תנועתיות באתר
      • הסרת הדגשת קישורים וכפתורים
      • להגדלת פונטים לחץ על מקשים
      • Ctrl + להגדלה
      • Ctrl - להקטנה
      • Ctrl 0 לאיפוס
      • הפעל הפסק ניווט מקלדת
      • אפס לברירת מחדל
      קיצורי מקלדת
      • כיבוי\הדלקה תפריט זהAlt + 0
      • דלג לתפריט הראשיAlt + 1
      • דלג לאזור תוכן מרכזיAlt + 2
      • חיפושAlt + 4
      • צור קשרAlt + 7
      • דלג לדף הביתAlt + h
      • דלג לתפריט הנגישותAlt + m

      *בדפדפן פיירפוקס יש להשתמש ב Alt + Shiftוהמספר

      למעבר בין אלמנטים בדף לחץ על מקש ה - Tabעל מנת לחזור אחורה בין אלמנטים לחץ על מקשים, - Shift + Tab

    • דלג לתפריט הראשי
    • דלג לאזור תוכן מרכזי
    • דלג לתפריט הנגישות
      •   linked in
      •   facebook

      אתר זה עושה שימוש "בעוגיות" (Cookies) לצורך תפעול שוטף ותקין בהתאם למדיניות הפרטיות